Skip to main content
Crowns & Bridges
Don't Live with Dental Damage!

Our high-quality crowns and bridges restore the health, form, and function of a damaged smile.

Crowns & Bridges | Dentist
Ask about Our Customized Dental Restorations
Call to Schedule

Crowns & Bridges in Bellaire, TX

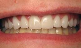
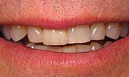
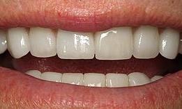
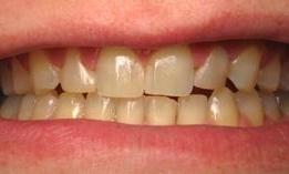
Dental crowns and bridges offered at Schultz Center for Dentistry are effective solutions for rejuvenating both the form and the function of your teeth. Missing or severely damaged teeth not only impact the appearance of a smile, but they can also make simple tasks such as eating or speaking a challenge.

What Dental Crowns Do

Dental crowns are designed to restore a tooth that has been compromised from damage or decay, and bridges are designed to replace one or more missing teeth. Bonded securely to your natural teeth, crowns and bridges can give you a permanent restoration that is fully functional as well as aesthetically pleasing.

If you suffer from missing teeth or teeth that are extremely damaged, our dentist, Dr. Jeffrey Schultz, can help determine if you are a good candidate for crowns or bridges. To schedule a consultation, please contact our Bellaire dental office today.

The Benefits of Dental Crowns

For patients with broken, decayed, or extremely worn teeth, dental crowns can restore the natural shape and shade of the tooth. The benefits of dental crowns can include:

  • Strengthening a weak tooth
  • Repairing the tooth’s shape
  • Improving the color of a tooth
  • Restoring the ability to chew and speak with ease

During the dental crown procedure, Dr. Schultz will first prepare the tooth, take an impression to create your custom crown, and then fix a temporary restoration in place. Once your custom crown is returned from the lab, Dr. Schultz can affix the crown to the affected tooth for a permanent restoration that is beautiful and blends seamlessly with your natural teeth.

The Benefits of Dental Bridges

For patients with missing teeth, a dental bridge can serve as a cost-effective way to restore the form and function of your smile. Sometimes used as an alternative to partial dentures or other removable appliances, dental bridges can replace a single tooth or several adjacent missing teeth with a permanent restoration that feels comfortable and secure. Since the bridge is used to span the area of missing teeth, it is essential that the adjacent teeth are healthy enough to support the restoration.

During the dental bridge procedure, Dr. Schultz will first prepare the teeth adjacent to the missing tooth or teeth so your bridge can be bonded into place. After taking an impression of your mouth, Dr. Schultz will give you a temporary bridge to wear while your customized bridge is being designed and fabricated. Once your custom bridge is returned from the lab, Dr. Schultz can secure the new bridge in place, providing you with a natural looking, fully functional smile.

Please Contact Us for a Consultation

Are you dealing with damaged or missing teeth and interested in learning more about crowns and bridges in Bellaire, TX, please call Schultz Center for Dentistry to arrange a commitment-free consultation. Dr. Schultz will be happy to meet with you to discuss your concerns and work together to find the solution that is most appropriate for you.

Dr. Schultz is prompt and is very kind

I never thought I would look forward to dentist visits, but Dr. Schultz and his staff make the visit so much fun! The staff is great. They always remember my name and are so nice. No matter what time I come they all have smiles on their faces. The office is also nicely appointed, TVs on the ceilings with earphones so you can watch TV while they work. The office is very modern, clean and the views from the top floor are relaxing. Dr. Schultz is prompt and is very kind, he doesn't push things on you like others, he truly cares for his patients. I truly appreciate his professionalism and care.

Rick C.

Meet Our Doctor:

Dr. Jeffrey Schultz

Dentistry was a natural career choice for Dr. Jeffrey Schultz, a native Houstonian, because both his father and brother are dentists. He attended the University of Houston and the University of Texas Dental Branch at Houston and opened his office in 1990. His practice encompasses all aspects of dentistry with a focus on cosmetic dentistry procedures, including porcelain dental veneers, tooth whitening or bleaching, and Invisalign.

Dr. Schultz is committed to an ethical, conservative approach to dentistry. He firmly believes in patient education, personalized service, and long-term patient relationships. He strives ...

Don't Let Damaged Teeth Ruin Your Smile!
Get Started!