Skip to main content
Full Mouth Restoration
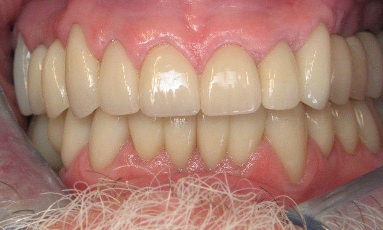
Don't Let Damaged Teeth Ruin Your Smile

We offer a wealth of restorative services and will work with you to customize a solution for your unique needs.

Full Mouth Restoration | Dentist
Enjoy A Smile That You're Proud to Show Off!
Call Us Now

Full Mouth Restoration in Bellaire, TX

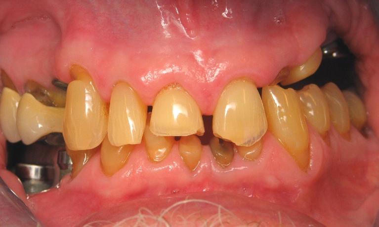
Do you suffer from multiple oral health ailments or functional issues? Are you concerned about aesthetic flaws that mar your smile? A full mouth restoration at our Houston dental office can rebuild your teeth and restore the health of your gums for a beautiful, healthy smile.

Dr. Jeffrey Schultz begins each full mouth restoration with an in-depth consultation, during which he will perform an oral exam and discuss your unique expectations. Afterward, a custom-tailored treatment plan can be created to meet your individual needs and goals.

Patients who undergo a full mouth restoration can typically speak and chew with greater ease, take more pride in the appearance of their new smile, and enjoy significantly improved oral health.

Are You a Candidate for Full Mouth Restoration?

Candidates for a full mouth restoration may suffer from some of the following oral health concerns:

  • Gum disease – Often the result of poor oral hygiene, gum disease can lead to tooth decay or tooth loss when left untreated.
  • Severe tooth decay – A combination of excessive sugar intake, poor oral hygiene, and gum disease can significantly compromise the integrity of the teeth.
  • Tooth erosion – Patients who suffer from acid-reflux, consume a large number of acidic foods or beverages, or take certain prescription medications may experience erosion of their tooth enamel.
  • Injury or trauma to the mouth: broken or missing teeth are frequently the result of an injury to the mouth.
  • TMD: patients with TMD typically grind their teeth or clench their jaw – particularly during sleep – which can result in structural damage to the teeth over time.

Often, a combination of several common cosmetic and restorative dentistry procedures are needed to comprehensively rejuvenate the smile of a full mouth restoration candidate.

Full Mouth Restoration Procedures

Before we decide how to proceed with treatment, Dr. Schultz will educate you about all the procedures we offer to reconstruct a healthy, beautiful smile. Common rehabilitation procedures we provide include:

  • Restorative dentistry procedures such as dental implants, crowns, or bridges
  • Cosmetic procedures such as porcelain veneers or teeth whitening
  • Orthodontic solutions such as Invisalign
  • Gum disease treatment
  • TMD treatment

By thoroughly reviewing the benefits of each procedure, Dr. Schultz can help you make well-informed decisions about their oral health.

Contact Our Office to Learn More

There’s a lot to consider when planning full mouth restoration and you probably have many questions. To learn more about full mouth restoration, or to schedule an appointment with Dr. Schultz, please contact our Houston dental office. He will be happy to answer your questions, evaluate your needs, explain all your options, and help you decide the best way to approach treatment.

Please call us at (713) 664-6665 to arrange a convenient appointment.

Everyone is sweet, friendly, and genuine

Dr. Schultz and all of his staff, from the front desk ladies to the hygienists are great! Everyone is sweet, friendly, and genuine, they always make my visits comfortable. They answer all of my questions in a helpful way, and are easily accessible by phone.

Ashlie L.

Meet Our Doctor:

Dr. Jeffrey Schultz

Dentistry was a natural career choice for Dr. Jeffrey Schultz, a native Houstonian, because both his father and brother are dentists. He attended the University of Houston and the University of Texas Dental Branch at Houston and opened his office in 1990. His practice encompasses all aspects of dentistry with a focus on cosmetic dentistry procedures, including porcelain dental veneers, tooth whitening or bleaching, and Invisalign.

Dr. Schultz is committed to an ethical, conservative approach to dentistry. He firmly believes in patient education, personalized service, and long-term patient relationships. He strives ...

A Healthier, More Beautiful Smile Awaits!
Schedule Now