Skip to main content
Porcelain Veneers
Ready for a Smile Transformation?

Don't love your smile? Our customized porcelain veneers correct aesthetic concerns and leave you with a stunning, natural-looking smile.

Porcelain Veneers | Dentist
Your Dream Smile May Be Closer Than You Think!
Call Us Now

Porcelain Veneers in Bellaire, TX

Serving the Bellaire, TX community

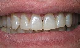
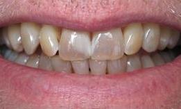
Porcelain veneers are designed to improve the overall appearance of your smile by addressing many common cosmetic concerns. Whether you have chips, cracks, gaps, uneven teeth, stains, discoloration, or even mild tooth misalignment, Bellaire cosmetic dentist Dr. Jeffrey Schultz can use porcelain veneers to give you a seamless, more vibrant, and youthful smile.

Composed of a thin yet durable ceramic material, porcelain veneers can rejuvenate the look of your teeth with long-lasting, beautiful results. Since we customize veneers specifically for your smile, they look just as natural as your own tooth, and most people won’t notice that you have had any work done. What they will notice is your beautiful, confident smile.

What are the benefits of porcelain veneers?

With the ability to address such a wide array of common tooth imperfections, porcelain veneers are one of our most popular cosmetic dentistry treatments. The benefits of porcelain veneers can include:

  • Improving tooth symmetry
  • Lengthening short, worn teeth
  • Eliminating gaps or spaces in your smile
  • Concealing chips or cracks
  • Reshaping crooked teeth
  • Whitening the appearance of your smile

If you are interested in more comprehensive rejuvenation, we may also recommend porcelain veneers can also be used as part of a customized smile makeover treatment plan.

What’s the difference between veneers and crowns?

While porcelain veneers are considered a cosmetic treatment to enhance the appearance of teeth, porcelain crowns are primarily used to restore a damaged or decayed tooth structure. Covering only the front portion of the tooth body, porcelain veneers are designed to mask minor chips, cracks, gaps, misalignments, and discoloration. In this way, they can be a sophisticated aesthetic solution to enhance your smile, with the durable porcelain shells providing additional support for your natural enamel.

Porcelain crowns, on the other hand, are “caps” bonded over the entire tooth body to reinforce and protect a tooth weakened by decay, bacteria buildup, or structural fissures. Capable of covering a dental implant, rehabilitating a tooth after a root canal, or simply strengthening impaired enamel, these restorations are designed to improve tooth function and can make it easier to bite with ease. Although crowns are crafted to blend in seamlessly with your smile while lending the beauty characteristic of porcelain, they are restorative in purpose.

Your specific dental needs can determine the best treatment for your oral health and smile goals. If you are unsure whether porcelain veneers or porcelain crowns are the most ideal treatment option, Dr. Schultz can assess your concerns during a consultation and help you decide the most beneficial course of action.  

Am I a good candidate for porcelain veneers?

Patients with minor dental flaws, such as “short” teeth, gaps, chips, cracks, or discoloration, can benefit greatly from porcelain veneers. For the right candidate, these ultra-thin porcelain shells can camouflage many cosmetic imperfections, restoring the proportions of a youthful and healthy tooth structure.

While porcelain veneers can serve as an exceptional treatment to refine the smile, individuals with unhealthy gums, severe decay, or more extensive tooth damage may be better suited for a restorative dentistry procedure.  

What can I expect during my porcelain veneers procedure?

Receiving a porcelain veneer is a relatively conservative dental procedure that does not typically require much preparation. A very small amount of the tooth’s natural structure will be removed to allow your custom-made veneer to be securely bonded into place. These veneers are ultra-thin, usually measuring no more than half a millimeter.

Based on your goals and desires, Dr. Schultz creates your veneers to match the shape and shade of your existing teeth for results that look both beautiful and natural. As an added benefit, the materials used to compose your porcelain veneers are quite durable, resistant to staining, and can reflect light in a way that mimics the appearance of a natural tooth.

How long do porcelain veneers last?

When properly cared for, porcelain veneers can last for years, if not decades. The lifespan of these cosmetic solutions can be prolonged with daily brushing and flossing, as well as routine dental check-ups.

While our team utilizes a durable veneer material that helps protect against staining, semi-annual professional cleanings at our office can additionally keep your porcelain veneers in optimal condition. These routine visits also give us the opportunity to check your veneers to make sure they’re in good shape.

What’s the best way to care for porcelain veneers?

Porcelain veneers require no additional maintenance besides the consistent oral hygiene habits necessary to care for natural teeth. Common sense should be your guide, however; while veneers are quite durable, like any other dental prosthetic, they are not indestructible.

If you are prone to grinding or clenching your teeth during sleep, wearing a mouthguard at night can help prevent unnecessary damage to your veneers and extend their use. It’s also wise to avoid chewing on ice and eating hard, crunchy foods that might chip your veneer.

I’m worried I can’t afford veneers. How much do they cost?

Since we customize porcelain veneers for each patient’s unique needs, the cost will vary based on the concerns we need to address. There are several factors that affect the total amount you can expect to pay and include the following:

  • Number of veneers required
  • Type of veneers being used
  • Amount of tooth preparation needed
  • Whether a lab will be crafting the restoration

When you come in for your consultation with Dr. Schultz, he will examine your oral needs and determine the extent of what you will need to achieve your goals. With this information, he can provide you with a quote on how much your porcelain veneers procedure may cost.

If you are interested in learning how you can reduce your total veneers cost by turning it into more manageable monthly payments, we are pleased to offers financing options to make your treatment more affordable. Applying is typically very easy, and most patients can find out immediately if they qualify.

How do you make sure my veneers fit well?

At Schultz Center for Dentistry, your porcelain veneers are customized to the unique shape, size, and length of your teeth. Before we place your veneers, we will make adjustments as necessary to ensure that they fit well and look natural along your gum line. As a result of this custom fabrication process, our patients receive veneers that are designed to fit both securely and comfortably.

Will my porcelain veneers look natural?

By removing a very small amount of dental enamel, we provide enough space for the veneer to sit naturally along your gum line. And since every veneer is custom-made according to the patient’s unique needs, we can provide exceptionally natural-looking results. In addition to matching the shape and size of the patient’s surrounding teeth, the veneer is color-matched to ensure a seamless look.

How can you keep me comfortable during the veneers procedure?

At the beginning of your veneers procedure, a local anesthetic will most likely be administered to help numb the treatment area. Dr. Schultz strives to help you feel as comfortable possible, ensuring you are at-ease throughout the duration of your treatment.

I’d like to schedule a veneers consultation. How do I get started?

If you would like to learn more about veneers and whether or not they’re a good choice for you, please call Schultz Center for Dentistry at (713) 664-6665 to arrange a convenient consultation. You can also send us an email by using our convenient online contact form. 

Highly recommend for a cleaning and exam

Visited Dr Schultz today, had Xrays, check up and a cleaning done. I was in the examining chair by my appointment time and i had a very professional dental hygienist. All my questions were answered and I feel as the exam was thoroughly done. Highly recommend for a cleaning and exam. There is a TV provided for entertainment during your cleaning. I did have to wait a week for an appointment but well worth the wait.

Khaled B.

Frequently Asked Questions

Porcelain veneers are a conservative cosmetic treatment designed to restore the appearance of your teeth. With the ability to conceal numerous cosmetic imperfections, porcelain veneers are a durable, long-lasting method of achieving a brighter, more even, and youthful smile.

Candidates for porcelain veneers often wish to address common dental concerns, including:

  • Chips
  • Cracks
  • Gaps
  • Discoloration
  • Worn teeth
  • Uneven teeth

Additionally, porcelain veneers also can correct the appearance of mild tooth misalignment.

Porcelain veneers are composed of a thin but strong ceramic material that is applied to the surface of the tooth, covering most imperfections. Since your porcelain veneers will be custom-made to match the color and shape of your surrounding teeth, the results from the procedure can look both beautiful and natural.

The materials used for porcelain veneers are stain resistant, reflect light similarly to natural tooth enamel and often provide patients with a boost in confidence. With proper care and maintenance, our patients at Schultz Center for Dentistry can enjoy their new smiles for decades.

If you would like to learn more about porcelain veneers in Houston, TX, or if you would like to schedule a consultation with Dr. Schultz, please contact our office today.

Meet Our Doctor:

Dr. Jeffrey Schultz

Dentistry was a natural career choice for Dr. Jeffrey Schultz, a native Houstonian, because both his father and brother are dentists. He attended the University of Houston and the University of Texas Dental Branch at Houston and opened his office in 1990. His practice encompasses all aspects of dentistry with a focus on cosmetic dentistry procedures, including porcelain dental veneers, tooth whitening or bleaching, and Invisalign.

Dr. Schultz is committed to an ethical, conservative approach to dentistry. He firmly believes in patient education, personalized service, and long-term patient relationships. He strives ...

Featured Blog Posts - Porcelain Veneers

September 28, 2017

How Durable Are Porcelain Veneers Vs. Real Teeth?

At Schultz Center for Dentistry, we offer many procedures to enhance the health and appearance of our patients’ teeth and gums. Our overall goal is to create a more beautiful and durable smile for our patients. For many dental concerns, porcelain veneers can help us achieve that goal.

Porcelain dental ...

September 21, 2017

What Foods Should I Avoid with Porcelain Veneers?

Porcelain veneers are some of our most popular cosmetic dentistry treatments at Schultz Center for Dentistry. They can address a variety of common concerns, including stains, cracks, chips, gaps, and even some cases of mild teeth misalignment. These thin ceramic veneers are designed to be durable while mimicking the appearance ...

February 2, 2016

How Much Do Porcelain Veneers Cost?

The benefits of porcelain veneers are numerous and can improve the appearance of many common dental imperfections. Whether you have cracks and chips, tooth discoloration, worn or uneven teeth, or gaps between your teeth, porcelain veneers can create a seamless, vibrant smile with natural-looking results.

Porcelain veneers are one of ...

Let Us Help You Achieve Your Smile Goals
Schedule Today